

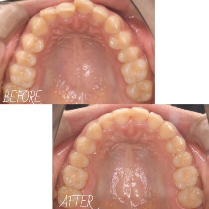
| 年齢 | 22歳 |
|---|---|
| 主訴 | 前歯のねじれが気になる |
| 治療期間 | 10か月 |
| 治療内容 | 叢生の患者様。 インビザラでの矯正治療。 |
| 費用(概算) | 835,000円(税込) ※別途2カ月に1回 調整料5,500円(税込) |
| リスク・副作用など | 歯の移動に伴う痛み、歯根吸収、歯肉退縮等 |


| 年齢 | 22歳 |
|---|---|
| 主訴 | 前歯のねじれが気になる |
| 治療期間 | 10か月 |
| 治療内容 | 叢生の患者様。 インビザラでの矯正治療。 |
| 費用(概算) | 835,000円(税込) ※別途2カ月に1回 調整料5,500円(税込) |
| リスク・副作用など | 歯の移動に伴う痛み、歯根吸収、歯肉退縮等 |