

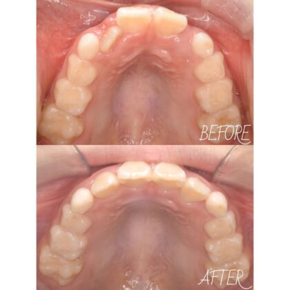
| 年齢 | 8歳 |
|---|---|
| 主訴 | 前歯が内側から生えてきた |
| 治療期間 | 1年3か月 |
| 治療内容 | 叢生の患者様。 インビザラインファーストでの矯正治療。 |
| 費用(概算) | 440,000円(税込) ※別途2カ月に1回 調整料5,500円(税込) |
| リスク・副作用など | 歯の移動に伴う痛み、歯根吸収、歯肉退縮等 |


| 年齢 | 8歳 |
|---|---|
| 主訴 | 前歯が内側から生えてきた |
| 治療期間 | 1年3か月 |
| 治療内容 | 叢生の患者様。 インビザラインファーストでの矯正治療。 |
| 費用(概算) | 440,000円(税込) ※別途2カ月に1回 調整料5,500円(税込) |
| リスク・副作用など | 歯の移動に伴う痛み、歯根吸収、歯肉退縮等 |